كشفت الطبيبة الأمريكية بريتاني بانكهيد-كيندال، أنّ الرئتين لدى الأشخاص المتعافين من فيروس “كورونا“، تبدوان أسوأ بكثير من الرئتين لدى الأشخاص المدخنين، وفق ما ذكرت صحيفة “ديلي ميل” البريطانية.
وتعمل الطبيبة بانكهيد-كيندال، وهي أستاذ مساعد في مركز العلوم الصحية بجامعة تكساس للتكنولوجيا، على علاج آلاف الأشخاص المصابين بالمرض منذ تفشي الوباء في مارس/آذار 2020.
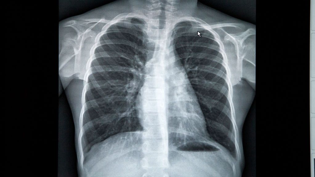
وقدّمت بانكهيد-كيندال 3 صور، الأولى لرئتي شخص سليم، والثانية تظهر رئتي شخص مدخّن في حين أن الثالثة تظهر رئتي شخص أصيب بـ”كورونا” وتعافى منه.
رئة المتعافي من “كورونا” تبدو ضبابية بالكامل
ووفقاً للصور، فإنّ رئتي الشخص السليم تبدو واضحة وغير ضبابية وليس عليها أي ندبات كما أنها غير مغطاة ببقع بيضاء، ما يدل على أنه لا يوجد احتقان، وهذا الشخص قادر على استنشاق كمية طبيعية من الأكجسين.
أما في ما خصّ رئتي الشخص المدخن، فقد غطاها البياض في أجزاء عديدة منها وقد بدت ضبابية بعض الشيء مع يشير إلى وجود بعض الاحتقان، في حين أن رئتي الشخص المتعافى من كورونا بدت بيضاء وضبابية بالكامل تقريباً وفيها ندبات شديدة، ما يشير إلى أن هذا الشخص يواجه صعوبات كبيرة جداً في التنفس وهناك احتقان شديد وكبير.
COVID LUNGS
Texas doctor @BKendallMD tells me “post-COVID” lungs are worse than any smokers lungs she has ever seen. And it’s a trend she is witnessing in current and recovered patients. Our story tonight on @NewsNationNow.
Scroll: 1) Healthy 2) Smokers 3) COVID pic.twitter.com/Iu9V8OrpnK
— Markie Martin (@MarkieMartin) January 5, 2021
وتشير الضبابية في الرئتين وعدم ظهورها بشكل واضح إلى أنهما تعانيان من وجود سوائل أو بكتيريا تؤدي إلى سوء التنفس.
ولفتت بانكهيد-كيندال إلى أنّ العديد من خبراء الصحة يركزون على معدلات الوفيات وليس على الآثار طويلة المدى للناجين.
وغالباً ما يؤدي فيروس كورونا إلى مضاعفات مثل الالتهاب الرئوي، والذي يحدث عندما تمتلئ الرئتان بالسوائل وتصبح ملتهبة. وعندما تمتلئ الأكياس الهوائية بالسوائل، فإنها ستكون غير قادرة على امتصاص نفس القدر من الأكسجين خلال الحالة الطبيعية، مما يؤدي إلى ظهور أعراض مثل السعال وضيق التنفس.
المرض X.. جائحة جديدة تهدد البشرية بعد كورونا
حذر البروفيسور جان جاك مويمبي تامفوم عالم ميكروبيولوجي كونغولي من أن يضرب العالم قريبًا مرض قاتل آخر يسمى “المرض X” في الوقت الذي بدأ انبعاث الأمل بنهاية كابوس فيروس كورونا بعد قيام عدد من الدول في أنحاء العالم بحملات تطعيم شعوبها ضد الفيروس التاجي.